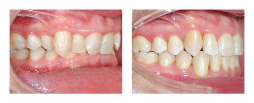
Orthodontie Paris | Cas avant / après
Les traitements orthodontiques interceptifs des jeunes patients permettent de créer des conditions favorables pour la croissance des mâchoires et l’éruption des dents permanentes. Chez l’adolescent et l’adulte, les dispositifs orthodontiques (« bagues », lingual, gouttières) sont très performants, mais leur action seule peut être insuffisante pour arriver à un résultat esthétique, fonctionnel et stable dans le temps, respectant les gencives. Ainsi l’orthodontiste, pour atteindre les objectifs de traitement, peut solliciter la coopération des patients (port d’élastiques inter-arcades notamment) ou des praticiens pratiquant des actes de dentisterie ou de chirurgie (extractions, interventions sur les gencives ou les dents, prothèses, chirurgie orthognatique…). Il peut aussi placer des minivis pour déplacer certaines dents.
Afin de montrer les possibilités qu’offre l’orthodontie dans notre cabinet sur Paris, des traitements orthodontiques des docteurs Julien Arnal et Philippe Tuil vous sont présentés. L’ensemble des photographies (des dents sous différents angles et du visage) permet d’apprécier les modifications obtenues dans des situations cliniques de difficulté variée, les photographies de face seules n’apportant que peu d’information. L’alignement des dents de devant est bien sûr important, mais l’équilibre du profil, l’emboitement des dents et l’inclinaison des dents de devant sont aussi essentiel pour l’esthétique et le devenir dans le temps (alignement des dents, vieillissement du visage, santé des gencives, usures dentaires…).
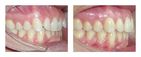
Cas Orthodontie Paris 1 : Recul de la mandibule à l’aide d'une chirurgie orthognatique
Les excès de croissance vers l’avant de la mâchoire inférieure (souvent héréditaire) sont inesthétiques (surtout chez les filles) et très pénalisants sur le plan fonctionnel (risque d’usure des dents de devant, de troubles articulaires...). Seule une chirurgie orthognatique (en fin de croissance) en corrigeant le décalage squelettique peut donner un bon résultat.
Après avoir aligné les dents et repositionné ces dernières favorablement sur leurs supports osseux, sous l’effet de l’appareil et d’élastiques, la patiente a bénéficié de ce geste médical. Le recul du menton a équilibré le profil et un emboitement profond des dents a été obtenu. Le fait d’avoir recentré les incisives inférieures dans l’os a renforcé les gencives au niveau de ces dents. La préparation orthodontique (avant la chirurgie) a duré 1 an et les finitions post-chirurgicales 6 mois.
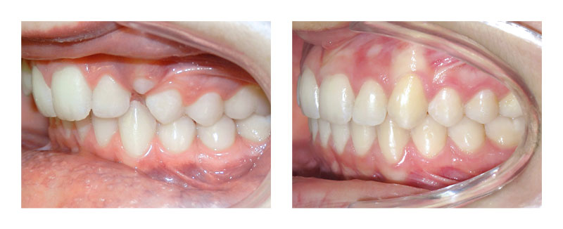
Cas Orthodontie Paris 2 : Simple alignement après une greffe gingivale
Ce traitement sans difficulté orthodontique (6 mois de traitement) a consisté à avancer les incisives centrales supérieures et les incisives inférieures. La finesse des gencives à l’arcade inférieure a justifié, avant d’entreprendre le travail d’alignement, un apport de gencive en regard des incisives inférieures. En effet, l’avancée de ces dernières peut dans cette situation affiner et donc fragiliser les gencives.
Une contention de longue durée est essentielle après ce type de traitement orthodontique, car les lèvres toniques exercent une force de recul sur les dents devant, source de récidive.
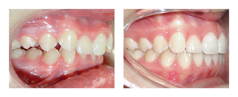
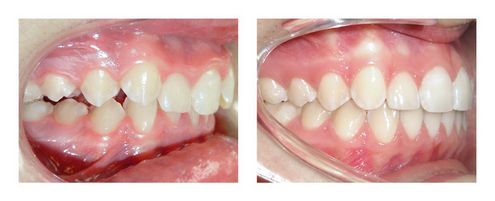
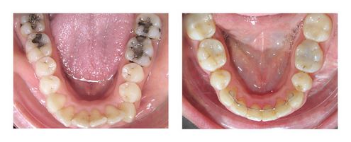
Cas Orthodontie Paris 3 : Recul de dents supérieures sur minivis
Les dents du fond (prémolaires et molaires) à l'arcade supérieure se sont avancées, privant les canines supérieures de place (évolution en double rangée). L'avancée de ces dents postérieures a aussi créé un décalage entre les arcades dentaires d'une dent (7mm).
Ce traitement de 2 ans a consisté à reculer sur minivis les dents du fond supérieures pour récréer la place pour les canines et corriger le décalage d'avant en arrière. Le traitement a aussi permis de libérer la croissance de la mâchoire inférieure, ce qui a amélioré le profil de la patiente par avancée du menton. Il est à noter que la finesse des gencives au niveau des dents antérieures supérieures interdisait une avancée trop importante des incisives supérieures sous peine d’avoir des récessions gingivales.
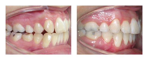
Cas Orthodontie Paris 4 : Alignement et élastiques d’un côté
Le motif de consultation était la mauvaise position de l’incisive supérieure, mais la patiente présentait également un excès de recouvrement incisif (incisives inférieures trop recouvertes par les incisives supérieures) et un décalage des arcades d’avant en arrière de 3 mm à droite (à gauche sur la photo). C’est le décalage des dents qui a été à l’origine des troubles de l’alignement des dents supérieures. Un contact trop fort entre les incisives du haut et du bas peut être à l’origine d’abrasions (usures) des incisives inférieures.
L’orthodontie a permis d’obtenir l’alignement espéré et surtout une occlusion fonctionnelle par nivellement des arcades et le port d’élastiques inter-arcades à droite. Les photos de fin présentées ici ont été prises 3 ans après la fin du traitement et montrent la stabilité. Le traitement a duré un an grâce au sérieux de la patiente.
Cas Orthodontie Paris 5 : Recul des dents supérieures sur FEO
Le décalage d’avant en arrière entre les arcades sévère (6 mm) est accompagné d’un surplomb très augmenté (8 à 9 mm). Il exposait les incisives à un potentiel risque de traumatisme. Dans ces conditions, la lèvre venait s’interposer derrière les incisives supérieures, bloquant ainsi la mâchoire inférieure vers l’arrière.
Très motivée, la jeune patiente a accepté de porter dans un premier temps des forces extra-orales la nuit et un peu en journée. Après un an de port, les molaires étaient très reculées, en surcorrection. Cette première phase de traitement a permis ensuite de finaliser rapidement, l’année suivante, le traitement avec un dispositif orthodontique classique.
Cas Orthodontie Paris 6 : Incisive dans le palais justifiant des extractions
Cette jeune adulte souffrait d’un déficit de place sévère aux deux arcades avec une incisive latérale expulsée vers l’arrière, d’un décalage des arcades et d’une hyperdivergence faciale (visage allongée). Un traitement conservateur (sans extraction) aurait condamné la patiente en fin de traitement à avoir des dents très en avant sans emboîtement, alors qu’un effort était déjà nécessaire pour obtenir le contact des lèvres. Les gencives auraient été fragilisées par ces déplacements.
Pour désencombrer les arcades, permettre le recul des incisives et donc le recul des lèvres et obtenir un emboîtement fonctionnel des dents, quatre prémolaires ont été extraites. Les dents de sagesse ont pu être conservées grâce à la place libérée. Le profil labial a été fortement amélioré avec une fermeture du compas facial (réduction de la hauteur de l’étage inférieur de la face). La place libérée par les extractions a permis aux dents de sagesse d'évoluer.
Pour optimiser le résultat esthétique, les incisives latérales supérieures ont été allongées par soustraction de gencive et la forme des incisives supérieures modifiées (forme des bords libres de ces dents, c’est-à-dire la partie basse, perturbée). Ce cas complexe a nécessité 2,5 ans de traitement.
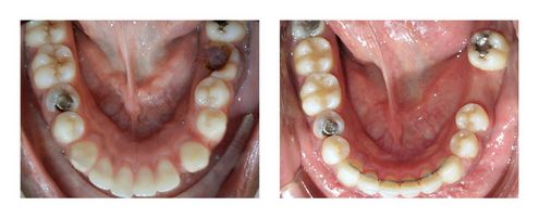
Cas Orthodontie Paris 7 : Recul d'incisives inférieures sur minivis
Le préjudice esthétique et fonctionnel lié à la position avancée des incisives inférieures (en avant des incisives supérieures) était très important. Ce trouble était d’origine fonctionnelle, car c’est la langue (basse et en avant) qui a poussé les incisives inférieures vers l’avant.
Du fait du bon emboîtement latéral des dents et de la présence d’espace à l’arcade inférieure, le traitement a consisté à reculer les incisives inférieures en prenant appui sur des minivis, dispensant de coopération, sans sollicitation des autres dents.
Le repositionnement des incisives inférieures a permis de retrouver une mastication efficiente au niveau de ces dents et de faire réapparaître les incisives supérieures dans le sourire. Le profil cutanée s’est amélioré sous l’effet du repositionnement de la lèvre inférieure. La préservation du résultat (obtenu en 2 ans) a imposé une contention et une rééducation de la langue.
Cas Orthodontie Paris 8 : Absence d’une molaire inférieure, décalage des arcades et expulsions de canine
La situation de départ était alarmante : absence d’une molaire inférieure (deuxième molaire inférieure en place de la première à droite), anomalie de forme de la deuxième prémolaire inférieure droite, décalage entre les arcades d’une dent (7 à 8 mm) à droite lié à la forte asymétrie de l’arcade inférieure, expulsion des canines supérieures vers l’extérieur, incisives latérales supérieures reculées.
La forme et le volume de la prémolaire très perturbée et le déficit de place ont amené à poser l’indication d’extractions de prémolaire. La place créée par ces extractions a permis d’aligner les dents antérieures et de faciliter la correction du décalage des arcades. La difficulté a été d’avancer la deuxième molaire inférieure droite de 8 mm. Cette avancée s’est faite sous l’effet d’élastiques inter-arcades, mais une minivis aurait pu aussi être utilisée. Grâce à ce déplacement, la dent de sagesse inférieure droite a pu se positionner correctement sur l’arcade et donc permettre d’éviter un implant. La durée globale de traitement a été de 2,5 ans.
Cas Orthodontie Paris 9 : Fermeture d’espace inesthétique
Sous la pression de la langue, les incisives se sont avancées et écartées. Les espaces crées étaient inesthétiques et fragilisaient les gencives (absence de points de contact inter-dentaires pour résister aux assauts du bol alimentaires traumatisant les gencives, brossage entre les dents difficile).
La fermeture des espaces a permis facilement de reculer les incisives en 1 an. Une rééducation de la posture linguale et une contention assurent désormais la conservation du résultat.
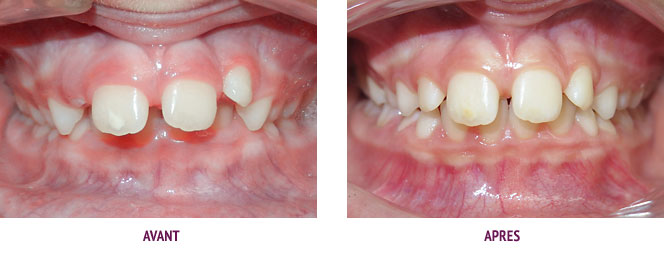
Cas 10 : Repositionnement d’une incisive reculé et correction de l’occlusion
La position reculée de l’incisive latérale supérieure droite empêchait la mâchoire inférieure de se déplacer correctement. Elle était à l’origine d’une forte perturbation de la forme de l’arcade inférieure et usait la dent en articulé inversé.
Le traitement ODF a permis rapidement de faire passer l’incisive latérale du bon côté. L’excès de recouvrement antérieur et le décalage sagittal (élastiques) ont aussi été traités. La nouvelle occlusion a permis de retrouver une liberté de mouvement à la mâchoire inférieure et donc soulager les articulations. Les traumatismes dentaires, sources d’usure des dents, ont disparu. L’alignement des dents antérieures supérieures a évidemment rendu le sourire beaucoup plus attrayant.
Cas 11 : Extractions de molaire dans un cas complexe
Le patient s’est présenté à la consultation avec les deux premières molaires supérieures extraites, (car trop délabrées pour être conservées). La mâchoire inférieure a plus grandi à droite qu’à gauche (d’où la déviation du menton à gauche et un décalage occlusal à droite). Cette asymétrie de forme des mâchoires aurait pu justifier une chirurgie orthognatique de la mandibule (solution non retenue).
Du fait de la présence d’une dent de sagesse inférieure à droite avec une forme proche des molaires présentes sur l’arcade, il a été décidé d’extraire la deuxième molaire inférieure droite pour symétriser l’arcade inférieure et donc corriger le décalage. Le recul des prémolaires supérieures et donc la création de place pour les canines a été rendu possible grâce aux espaces libérés par les extractions des molaires supérieures. Les dents de sagesse supérieures ont évolué spontanément, mais étaient trop petites. Des résines ont été collées sur ces dents pour leur redonner un volume suffisant. Les déplacements étant très importants, le traitement a été long (3 ans), mais le gain esthétique est impressionnant et le devenir des dents et des gencives fortement amélioré. Des prothèses dentaires ont pu être évitées.
Cas 12 : Arrêt du pouce
Les dents de devant ne se touchent pas (béance). L’arcade supérieure est contractée et le visage est allongé. Tout ceci est la conséquence d’une succion du pouce. Dans ces conditions, la langue ne peut pas travailler correctement.
La mise en place d’un appareil fonctionnel a permis de stopper l’habitude déformante (le pouce) et d’élargir l’arcade supérieure. Le fait de ne plus interposer le pousse entre les arcades a permis aux incisives de reprendre leur éruption et donc de fermer la béance. La déglutition atypique s’est corrigée naturellement et la forme du visage a évolué. Ce geste interceptif a duré 6 mois.
Cas 13 : Fermeture d’une béance fonctionnelle chez l’adulte
Après avoir consulté plusieurs praticiens qui proposaient une chirurgie pour fermer la béance, il a été diagnostiqué que le trouble vertical était d’origine fonctionnelle et non squelettique. En effet, la langue venait en permanence se placer entre les incisives supérieures et inférieures, les empêchant de se rencontrer et les poussant vers l’avant (incisives inférieures presque expulsées de l’os du menton). Les dents supérieures n’étaient pratiquement pas visibles, quand la patiente souriait (sourire édenté).
Il a été donc proposé de placer un obstacle au passage de la langue fixe, même si ce dispositif est gênant. La fermeture de la béance a été rapide et spectaculaire. Pour finir de fermer la béance, après retrait du dispositif fixe, un appareil amovible de rééducation linguale associé à un dispositif orthodontique ont fini le traitement. 1,5 ans auront été nécessaires. La fermeture de la béance a permis de faire réapparaître les incisives dans le sourire. Les incisives inférieures, dont le pronostic était très réservé, pourront être conservées. Il est à noter qu’un implant remplacera la molaire manquante, le non remplacement de la dent pouvant être à l’origine d’une instabilité.
Cas 14 : Amélioration du profil grâce à des extractions
Le profil du patient était très inesthétique, car les lèvres étaient refoulées vers l’avant par les dents qui manquaient de place. Deux prémolaires étaient bloquées au niveau du palais. A gauche, l’arcade inférieure était en avant par rapport à l’arcade supérieure de 4 mm.
Même si le sourire du patient est très plaisant au départ, pour avoir un vrai effet de recul sur les lèvres et corriger les rapports occlusaux, des extractions constituent le seul moyen thérapeutique disponible. Ce choix de traitement (2 ans) a permis d’obtenir un contact des lèvres sans effort (meilleur profil), de repositionner les dents dans un environnement parodontal meilleur (meilleure santé des gencives et de l’os entourant les dents) et de traiter la malocclusion.
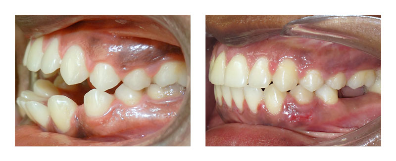
Cas 15 : Elargissement du palais et recentrage de la mâchoire inférieure
Les occlusions croisées unilatérales (dents du haut à l’intérieur des dents du bas d’un côté) avec un défaut de centrage de la mâchoire inférieure constitue l’une des principales indications de traitement des tout petits. L’arcade du haut étant trop étroite, l’arcade du bas ne peut pas s’emboîter avec le haut. Pour trouver plus de contact, la mâchoire inférieure part d’un côté. Cette asymétrie de position a pour conséquence une asymétrisation de la croissance de la mâchoire inférieure (asymétrisation du visage), la création d’un décalage d’avant en arrière du côté de la déviation et une usure prématurée des dents du côté de la déviation.
Dès que les premières molaires supérieures arrivent sur l’arcade, l’arcade supérieure doit être élargie pour permettre un repositionnement correct de la mandibule. Ici, notre patient s’est parfaitement recentré (comme le montre l’alignement des milieux incisifs) et a retrouvé des rapports occlusaux symétriques (correction de décalage à droite). Ce petit traitement n’a pas excédé 6 mois.
Cas 16 : Avancée de la mandibule avec une chirurgie orthognathique
Le patient est venu avec la demande d’avancer ses dents du haut, car insuffisamment visibles lors du sourire. La mâchoire inférieure n’ayant pas assez grandi durant l’enfance (menton reculé), un décalage s’était créé entre les dents du haut et du bas. Sous la pression des lèvres, les incisives supérieures se sont inclinées vers l’arrière, jusqu’à retrouver un contact avec les incisives inférieures. Ce recul s’est accompagné de la création d’un chevauchement et d’une augmentation du recouvrement incisif, source d’usure dentaire.
Pour répondre à sa demande, le traitement a consisté à faire le chemin inverse. Les incisives supérieures ont été avancées lors de la phase d’alignement, créant un gros décalage entre les dents de devant du haut et du bas. Dans un deuxième temps, un chirurgien a réalisé une avancée mandibulaire. Cet acte chirurgical a permis de corriger le décalage entre les deux arcades et d’avancer le menton dans le profil. La chirurgie a aussi aidé à traiter l’excès de recouvrement antérieur. Les incisives du bas sont à nouveau apparentes et placées dans une position qui les protège d’usures précoces. Les surfaces dentaires usées par la malocclusion au niveau des incisives supérieures ont été remplacées par de la résine. Ce traitement ortho-chirurgical a duré 1,5 ans.
Cas 17 : Malocclusion dans les trois sens de l’espace et inclusions dentaires
Presque toutes les difficultés qu’il est possible de rencontrer dans un traitement étaient présentes : hyperdivergence faciale, béance latérale, bascule des plans d’occlusion (sourire oblique), articulé inversé à droite (lié à un déficit transversal maxillaire), décalage d’avant en arrière des arcades, inclusions (blocage) de la canine inférieure gauche (espace d’évolution complétement fermé) et des deuxièmes prémolaires supérieures, gencives fines.
Les premiers gestes thérapeutiques ont consisté à élargir l’arcade supérieure et rouvrir l’espace de la canine bloquée dans l’os pour voir si son éruption reprenait. Par chance, la canine a commencé a évolué. Le déficit de place et l’hyperdivergence faciale nous ont amenés à nous séparer de deux prémolaires en bas et des deux prémolaires incluses. Pour horizontaliser le sourire et corriger le décalage d’avant en arrière, des minivis ont été utilisées.
Sa maman et sa sœur qui présentaient des troubles similaires et qui n’ont pas bénéficié de ce type de traitement ont aujourd’hui des gros problèmes dentaires. L'orthodontie aura permis à notre patiente de ne pas suivre la même destinée. L’occlusion est désormais symétrique et fonctionnelle. Les dents sont placées dans une position esthétique et sont entourées d’un os et d’une gencive de qualité. Ce traitement extrêmement complexe a nécessité trois années, mais les efforts ont été récompensés.
Cas 18 : Elargissement précoce des arcades pour gagner de la place
Ayant un visage parfaitement équilibré et les dents étant bien emboîtées, les arcades ont été légèrement élargies précocement pour gagner un peu de place. Une fois la place créée, les dents de devant ont été alignées avec un dispositif orthodontique fixe classique.
Le résultat a été obtenu en 1 an, mais a imposé après la phase active de traitement de porter des gouttières de maintien. En effet, ces corrections sont très récidivantes au début. Le but de ces traitements est d’éviter des extractions à l’adolescence.
Cas 19 : Canine bloquée dans l’os, enjambant une incisive
Inquiète de ne pas voir pousser une canine, la patiente a consulté. La canine supérieure, absente sur l’arcade, était en train de passer par dessus l’incisive latérale adjacente, avec le risque de détruire la racine de cette dent. La canine positionnée sous la gencive a formé une bosse au dessus de l’incisive. La première molaire supérieure a été extraite par un chirurgien-dentiste, car une carie énorme s’y était développée.
Un chirurgien a d’abord placé un dispositif sur la canine pour pouvoir la tirer vers l’arrière (tout en restant sous la gencive) en prenant appui sur une minivis. Une fois la canine suffisamment reculée, elle a été sortie de la gencive et ramenée dans l’espace qui lui était dévolu sur l’arcade. La place libérée par l’extraction de la molaire a été utilisée pour augmenter cet espace. En fin de traitement (1,5 ans), les espaces sont fermés, les dents alignées et les dents bien emboîtées. Les incisives sont inclinées vers l’avant, mais le profil est plaisant et ce recul aurait imposé des extractions (terrain carieux au départ contre-indiquant un traitement long).
Cas 20 : Agénésies des incisives latérales supérieures - substitution
Les incisives latérales supérieures sont absentes et les canines ont cherché à prendre leur place. Une canine temporaire persiste sur l’arcade.
Pour éviter des prothèses, le contexte étant favorable, il a été décidé de fermer les espaces (canine temporaire extraite en début de traitement) à l’aide d’élastiques. Ce choix permet de terminer le traitement avec des dents naturelles, sans prothèse, mais les canines supérieures n’ont pas la forme (apport de résine en fin de traitement), la taille (volumineuse) et la teinte des incisives latérales (jaune). Ici, la patiente était ravie du résultat, mais elle a toujours la possibilité de réaliser des facettes pour transformer les canines en incisives latérales et les prémolaires en canines.
L’autre option de traitement était de rouvrir les espaces des incisives latérales en reculant les canines. Des prothèses (bridges ou implants) auraient été alors obligatoires pour combler les espaces des incisives latérales. Le résultat final est donc conditionné par la qualité de la réalisation des prothèses. Il est à noter que les bridges collés sont fragiles et que les implants vieillissent mal dans le temps (remontée relative des implants par rapport aux autres dents au fil des années et perte de gencive).
Cas 21 : Correction d’un décalage sévère avec des extractions sur un parodonte affaibli
Les gencives et l’os qui entourent les dents de notre patiente étaient malades (parodontite) avec du tartre agressif pour ces derniers (tartre noir sous la gencive et autour des dents). Cette pathologie a fait perdre à son papa toutes ses dents. Le décalage d’avant en arrière entre les arcades était très important (7mm) et les incisives inférieures déjà très avancée dans l’os (gencives très fines).
Pour ne pas altérer le profil, le décalage doit se corriger en partie grâce à une croissance vers l’avant de la mâchoire inférieure. Le problème c’est que nos dispositifs qui stimulent cette croissance font avancer les incisives inférieures. Ainsi, même s’il n’y avait pas d’encombrement dentaire, quatre prémolaires ont été retirées pour aider à corriger le décalage et stimuler la croissance mandibulaire sans avancer les incisives inférieures (recul obtenu). Après deux années de traitement, le décalage a été corrigé et la santé des gencives améliorée et ceci sans altérer le profil. Grâce aux extractions nous avons pu conserver les dents de sagesse.
Cas 22 : Stimulation de la croissance mandibulaire avec des élastiques
La mâchoire inférieure de notre patiente n’avait pas assez grandi. Les arcades dentaires étaient décalées (surtout à droite) et les lèvres sous tension au repos.
Les incisives inférieures étant inclinées vers l’arrière, il a été possible de corriger le décalage grâce à des élastiques qui ont reculé les dents supérieures, avancé les dents inférieures et stimulé la croissance de la mâchoire inférieure. Après 2 ans de traitement, un bon emboitement a été ainsi obtenu et le profil s’est équilibré grâce à la bonne coopération de la patiente.
Cas 23 : Stimulation précoce de la croissance de la mâchoire inférieure
Le déficit de croissance de la mâchoire inférieure est tel que le menton est très reculé et la lèvre inférieure vient se positionner derrière les incisives supérieures. Dans ce contexte, la croissance est bloquée par l’interposition labiale et le verrouillage de l’occlusion (arcade supérieure étroite, incisives inférieures en appui sur la gencive du palais derrière les incisives supérieures). En l’absence de traitement précoce, nous orientons la patiente vers un traitement ortho-chirurgical.
Un activateur stimulant la croissance de la mâchoire inférieure a été très bien porté pendant 1 an. Le profil a énormément évolué avec une avancée impressionnante du menton. De bons rapports occlusaux d’avant en arrière ont été obtenus. Le but de cette phase interceptive était de réduire le décalage squelettique et non d’aligner ou de corriger l’excès de recouvrement antérieur. Ceci a été traité à l’adolescence avec un appareil orthodontique classique en 1 an.
Cas 24 : Syndrôme d’apnée obstructive du sommeil
La mâchoire inférieure de notre patiente étant trop petite, la langue était refoulée en arrière dans la gorge, obstruant ainsi les voies aériennes. Ce trouble fonctionnel, qui peut avoir des conséquences graves pour la santé (fatigue, troubles cardio-vasculaires…), peut être traité chez l’adulte par une forte avancée mandibulaire.
Ici, pour aggraver le décalage occlusal et donc permettre une avancée chirurgicale de la mandibule plus importante, quatre prémolaires ont été extraites. Avant l’intervention chirurgicale, la patiente avait un décalage de plus de 1 cm. Grâce à l’amplitude de l’avancée, les voies aériennes ont été libérées, mettant ainsi fin à l’apnée du sommeil, et le profil a été aussi considérablement amélioré. Sur le plan masticatoire, le nombre de contact dentaire a été augmenté. Les photographies ne sont pas celles prises au moment de la dépose de l’appareil (2,5 ans de traitement), mais celles du contrôle post contention (3 années après). Malgré l’importance des déplacements dentaires et squelettiques, le résultat est stable, car l’occlusion est équilibrée et les fonctions normalisées.
Cas 25 : Elargissement du maxillaire supérieure
L’étroitesse de l’os maxillaire privait les dents supérieures de place, d’où le chevauchement important au niveau de cette arcade. Ce déficit transversal était aussi à l’origine d’une réduction du diamètre des fosses nasales (réduisant les possibilités de respiration nasale) et d’un articulé inversé à gauche (dents du haut à l’intérieur des dents du bas). La mastication était donc asymétrique avec un risque d’usure des dents en occlusion inversée.
Le palais a été élargi par disjonction, ce qui a redonné une dimension à l’arcade supérieure compatible avec l’arcade inférieure et donc corrigé l’articulé inversé. La place créée a permis d’aligner les dents antérieures supérieures. Une amélioration de la respiration a été observée. Ce traitement de 1,5 ans n’a pas amélioré le profil (convexité des lèvres), car des extractions n’étaient pas souhaitées. Une génioplastie (modification de la forme du menton par une chirurgie) est toujours possible pour équilibrer le profil.

